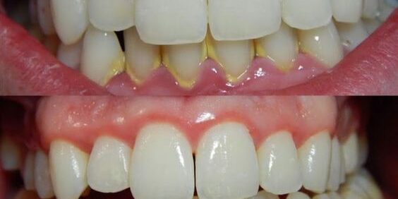
A destartarização é um dos tratamentos mais importantes na medicina dentária.
Este tratamento ajuda a manter a sua saúde oral e permite que o seu médico dentista faça um controle da mesma.
Alguns beneficios da realização da destartarização:
- Eliminação da placa bacteriana presente em redor dos dentes e tártaro.
- Verificação da eficácia da escovagem realizada pelo paciente, com possível aconselhamento de qual a mais indicada.
- Detecção de cárie dentária.
- Verificação da existência de possíveis lesões na cavidade oral.
- Planeamento dos tratamentos dentários.
- Prevenção das doenças gengivais: gengivite (inflamação e sangramento gengival), periodontite (evolução da gengivite, havendo já comprometimento do osso alveolar, que está em redor dos dentes). Sem esquecer também a halitose (mau hálito);
A destartarização deve ser realizada anualmente em casos de boa higiene oral, sendo que esta periodicidade poderá ser diferente em cada caso, sendo a mesma recomendada pelo seu dentista.
Previna o aparecimento de problemas com um tratamento.






