Sorria sem medo!
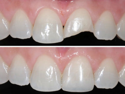
A saúde bocal traz grande preocupação para as pessoas, principalmente a nível estético. Dentes brancos e alinhados, além de saudáveis, são considerados como muito bonitos. No entanto, nem sempre conseguimos mantê-los assim. O aparecimento de manchas nos dentes é muito comum de acontecer devido à erosão dentária. Quais as causas das manchas dentárias? O aparecimento de manchas…










